Missing and Peg Lateral Incisors
Incisors are the first teeth that a baby develops around 6 months old. They are the front four teeth on the top and the front four on the bottom that are used take bites of food. Between 6 years old and 8 years old, the baby teeth come out and permanent teeth break through.
Is it common to be missing lateral incisors?
Missing lateral incisors is a common dental anomaly, often hereditary, and is in the maxillary anterior region. Hypodontia, missing lateral incisors, is a commonly congenitally issue. This is a one of them most common dental phenomena, after a person born with extra teeth. This dental lamina is when teeth are formed under the gums, or not formed at all.
For a missing lateral, typically a temporary bridge is installed to replace that tooth until the patient is ready for a dental implant. Other options to replace the missing lateral are a canine substitution or a tooth-supported restoration.
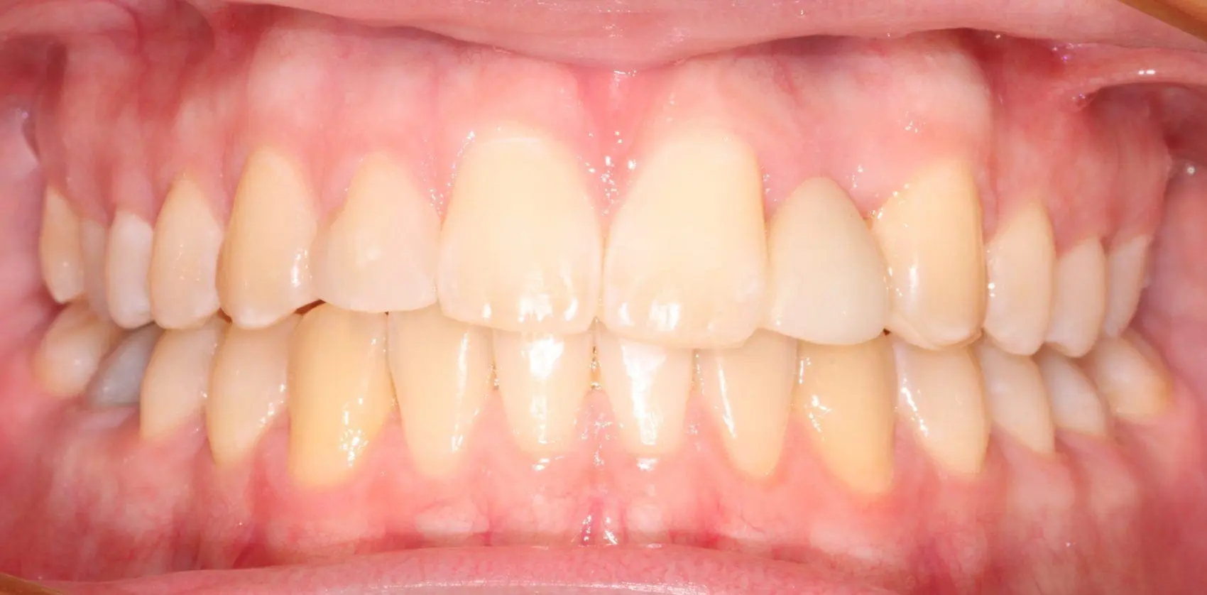
What is a Peg Lateral Incisor?
Peg lateral incisors is when the second tooth on either side of the upper front teeth isn’t correctly developed, usually pointed and smaller than normal. Sometimes, the permanent adult teeth never develop, leaving only the primary teeth. These are often referred to as peg laterals, although an actual peg lateral incisor is an under-developed adult permanent tooth that erupted once the baby tooth came out.




Peg Lateral Incisors Treatment
To treat a peg lateral incisor, a dentist may install a tooth-colored composite crown, a crown, dental bonding, or an implant for the peg lateral, creating a natural appearance. A porcelain veneer is the more conservative option that is more aesthetically pleasing.
Many patients will have both a missing and a peg lateral incisor. Missing incisor laterals, anodontia, is hereditary and can apply to one more of the permanent teeth, with the upper lateral incisors being the most common among 2% of the population. Peg incisor laterals are a genetic and peculiar developmental issue, meaning it is handed down from generation to generation.

